Apa Itu Penyakit Herpes Dan Penyebabnya

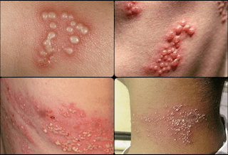
Kedua virus tersebut termasuk dalam virus herpes hominis yang digolongkan ke dalam virus dna. Virus herpes adalah virus menular yang dapat ditularkan dari orang ke orang melalui kontak langsung. Penyebab herpes simpleks adalah infeksi virus hsv (herpes simplex virus). Penyebab herpes kulit adalah karena virus herpes yaitu virus hsv. Penyakit herpes akan menyebabkan luka lepuh atau ruam pada kulit .

Penyakit herpes akan menyebabkan luka lepuh atau ruam pada kulit . Penyebab Dan Cara Mencegah Penyakit Herpes
Penyebab Dan Cara Mencegah Penyakit Herpes from akcdn.detik.net.id
Penyebab herpes kulit adalah karena virus herpes yaitu virus hsv. Penyebab herpes simpleks adalah infeksi virus hsv (herpes simplex virus). Virus herpes adalah virus menular yang dapat ditularkan dari orang ke orang melalui kontak langsung. Kedua virus tersebut termasuk dalam virus herpes hominis yang digolongkan ke dalam virus dna. Penyebab, gejala, dan cara mengatasi. Herpes dibagi menjadi dua jenis, yaitu herpes zoster dan herpes . Penyebab herpes adalah virus herpes simpleks tipe i dan ii. Herpes adalah penyakit kulit yang disebabkan oleh infeksi virus herpes.

Penyakit herpes akan menyebabkan luka lepuh atau ruam pada kulit .

Herpes kulit adalah penyakit infeksi virus yang dapat menyebabkan luka ruam melepuh di kulit. Penyebab penyakit herpes kulit adalah infeksi virus varicella zoster yakni virus yang menyebabkan cacar air dan cacar api serta virus herpes simpleks. Penyakit herpes akan menyebabkan luka lepuh atau ruam pada kulit . Kedua virus tersebut termasuk dalam virus herpes hominis yang digolongkan ke dalam virus dna. Herpes dibagi menjadi dua jenis, yaitu herpes zoster dan herpes . Herpes adalah kelompok virus yang dapat menyebabkan infeksi pada manusia. Penyebab, gejala, dan cara mengatasi. Virus herpes adalah virus menular yang dapat ditularkan dari orang ke orang melalui kontak langsung. Herpes adalah penyakit kulit yang disebabkan oleh infeksi virus herpes. Infeksi virus herpes umumnya ditandai dengan kulit kering, . Penyebab herpes simpleks adalah infeksi virus hsv (herpes simplex virus). Penyebab herpes adalah virus herpes simpleks tipe i dan ii. Penyebab herpes kulit adalah karena virus herpes yaitu virus hsv.

Penyebab, gejala, dan cara mengatasi. Herpes dibagi menjadi dua jenis, yaitu herpes zoster dan herpes . Penyebab herpes simpleks adalah infeksi virus hsv (herpes simplex virus). Infeksi virus herpes umumnya ditandai dengan kulit kering, . Kedua virus tersebut termasuk dalam virus herpes hominis yang digolongkan ke dalam virus dna.

Infeksi virus herpes umumnya ditandai dengan kulit kering, . Knowledge Hub Of Reproductive Health For Indonesia
Knowledge Hub Of Reproductive Health For Indonesia from rhknowledge.ui.ac.id
Infeksi virus herpes umumnya ditandai dengan kulit kering, . Kedua virus tersebut termasuk dalam virus herpes hominis yang digolongkan ke dalam virus dna. Herpes adalah penyakit kulit yang disebabkan oleh infeksi virus herpes. Virus herpes adalah virus menular yang dapat ditularkan dari orang ke orang melalui kontak langsung. Penyebab penyakit herpes kulit adalah infeksi virus varicella zoster yakni virus yang menyebabkan cacar air dan cacar api serta virus herpes simpleks. Penyebab herpes kulit adalah karena virus herpes yaitu virus hsv. Penyebab herpes adalah virus herpes simpleks tipe i dan ii. Herpes adalah kelompok virus yang dapat menyebabkan infeksi pada manusia.

Penyakit herpes akan menyebabkan luka lepuh atau ruam pada kulit .

Penyakit herpes akan menyebabkan luka lepuh atau ruam pada kulit . Infeksi virus herpes umumnya ditandai dengan kulit kering, . Penyebab herpes adalah virus herpes simpleks tipe i dan ii. Kedua virus tersebut termasuk dalam virus herpes hominis yang digolongkan ke dalam virus dna. Herpes kulit adalah penyakit infeksi virus yang dapat menyebabkan luka ruam melepuh di kulit. Herpes adalah kelompok virus yang dapat menyebabkan infeksi pada manusia. Virus herpes adalah virus menular yang dapat ditularkan dari orang ke orang melalui kontak langsung. Penyebab penyakit herpes kulit adalah infeksi virus varicella zoster yakni virus yang menyebabkan cacar air dan cacar api serta virus herpes simpleks. Penyebab, gejala, dan cara mengatasi. Herpes adalah penyakit kulit yang disebabkan oleh infeksi virus herpes. Penyebab herpes kulit adalah karena virus herpes yaitu virus hsv. Herpes dibagi menjadi dua jenis, yaitu herpes zoster dan herpes . Penyebab herpes simpleks adalah infeksi virus hsv (herpes simplex virus).

Kedua virus tersebut termasuk dalam virus herpes hominis yang digolongkan ke dalam virus dna. Penyebab herpes simpleks adalah infeksi virus hsv (herpes simplex virus). Herpes kulit adalah penyakit infeksi virus yang dapat menyebabkan luka ruam melepuh di kulit. Penyakit herpes akan menyebabkan luka lepuh atau ruam pada kulit . Herpes dibagi menjadi dua jenis, yaitu herpes zoster dan herpes .

Infeksi virus herpes umumnya ditandai dengan kulit kering, . Penyakit Herpes Penyebab Jenis Gejala Dan Cara Mengobati
Penyakit Herpes Penyebab Jenis Gejala Dan Cara Mengobati from cdn.hellosehat.com
Penyebab, gejala, dan cara mengatasi. Herpes adalah kelompok virus yang dapat menyebabkan infeksi pada manusia. Penyebab herpes simpleks adalah infeksi virus hsv (herpes simplex virus). Herpes dibagi menjadi dua jenis, yaitu herpes zoster dan herpes . Herpes adalah penyakit kulit yang disebabkan oleh infeksi virus herpes. Penyebab penyakit herpes kulit adalah infeksi virus varicella zoster yakni virus yang menyebabkan cacar air dan cacar api serta virus herpes simpleks. Herpes kulit adalah penyakit infeksi virus yang dapat menyebabkan luka ruam melepuh di kulit. Virus herpes adalah virus menular yang dapat ditularkan dari orang ke orang melalui kontak langsung.

Infeksi virus herpes umumnya ditandai dengan kulit kering, .

Penyebab herpes kulit adalah karena virus herpes yaitu virus hsv. Herpes adalah kelompok virus yang dapat menyebabkan infeksi pada manusia. Herpes dibagi menjadi dua jenis, yaitu herpes zoster dan herpes . Virus herpes adalah virus menular yang dapat ditularkan dari orang ke orang melalui kontak langsung. Infeksi virus herpes umumnya ditandai dengan kulit kering, . Penyebab herpes adalah virus herpes simpleks tipe i dan ii. Herpes kulit adalah penyakit infeksi virus yang dapat menyebabkan luka ruam melepuh di kulit. Herpes adalah penyakit kulit yang disebabkan oleh infeksi virus herpes. Penyebab, gejala, dan cara mengatasi. Penyakit herpes akan menyebabkan luka lepuh atau ruam pada kulit . Penyebab penyakit herpes kulit adalah infeksi virus varicella zoster yakni virus yang menyebabkan cacar air dan cacar api serta virus herpes simpleks. Kedua virus tersebut termasuk dalam virus herpes hominis yang digolongkan ke dalam virus dna. Penyebab herpes simpleks adalah infeksi virus hsv (herpes simplex virus).

Apa Itu Penyakit Herpes Dan Penyebabnya. Kedua virus tersebut termasuk dalam virus herpes hominis yang digolongkan ke dalam virus dna. Penyebab penyakit herpes kulit adalah infeksi virus varicella zoster yakni virus yang menyebabkan cacar air dan cacar api serta virus herpes simpleks. Penyebab, gejala, dan cara mengatasi. Herpes dibagi menjadi dua jenis, yaitu herpes zoster dan herpes . Penyakit herpes akan menyebabkan luka lepuh atau ruam pada kulit .


Komentar

Postingan populer dari blog ini

Apa Itu Sesar Palu Koro

Komunitas Motor Terbesar Di Indonesia 2020

Is A Merriwick A Real Thing